本文引用:孙世民, 孙珍珠, 池菊芳, 郭航远. 黄酒多酚💝诱导沉默调节蛋白3表达减轻阿霉素心肌损伤研究[J]. 中国全科医学, 2022, 25(17): 2102-2109. DOI: 10.12114/j.issn.1007-9572.2022.01.605
Shimin SUN, Zhenzhu SUN, Jufang CHI, Hangyuan GUO. Yellow Wine Polyphenolic Compounds Regulate SIRT3 Expression to Alleviate DOXorubicin-induced Myocardial Injury[J]. Chinese General Practice, 2022, 25(17): 2102-2109. DOI: 10.12114/j.i﷽ssn.1007-9572.2022.01💜.605
自20世纪50年代第一个蒽环类药物被发现以来,因其在各类肿瘤治疗中的明显效果而被广泛应用于临床治疗[1]。阿霉素(即多柔比星,Doxorubicin,DOX)是一种蒽环类药物,对白血病及多种实体肿瘤均有较好的临床治疗效果,但在临床应用中常因其剂量依赖性、进展性、不可逆性心肌损伤而受到限制,如DOX在儿童癌症治疗后会形成长期心肌损伤[2,3]。DOX诱导的心肌损伤机制十分复杂,包括线粒体功能障碍、DNA损伤、铁代谢受损、细胞凋亡及自噬失调等多种途径[4],目前如何预防蒽环类药物引起的心肌损伤仍无法形成共识。多酚类物质是一类具有抗肿瘤、抗氧化、清除氧自由基和保护心血管作用的天然化学物,本研究团队前期研究以黄酒及其主要成分黄酒多酚(Yellow Wine Polyphenol Compounds,YWPC)为研究对象,探究其对心血管系统的保护作用,结果发现YWPC具有缓解DOX所致心脏毒性的作用。研究表明,YWPC可以通过调节细胞内核因子E2相关因子2(Nrf2)的核易位水平缓解DOX引起的氧化应激及心脏毒性[5,6]。除引起氧化应激反应外,破坏线粒体功能的完整性也是DOX引起心脏毒性的重要原因,而沉默调节蛋白3(SIRT3)是线粒体中的Ⅲ类组蛋白脱乙酰基酶,主要通过调节赖氨酸的乙酰化来调节线粒体网络。SIRT3通过对细胞线粒体的代谢功能等进行调节,减少心脏损伤过程中活性氧的生成,在与心肌损伤相关的许多通路中发挥着重要作用[7]。由于多酚类化合物表现出较好的线粒体保护作用💜[8,9],因此推测YWPC可以通过调节SIRT3表达水平降低心肌细胞凋亡水平,进而降低DOX的心脏毒性。为进一步探究YWPC在DOX心肌损伤中的作用机制,本研究拟通过体内及体外实验模拟DOX心肌损伤,并由此观察SIRT3在其中发挥的作用,为后期研究SIRT3在DOX心肌损伤中的作用及线粒体的功能打下基础,为治疗DOX心肌病提供新的思路。
(1)沉默调节蛋白3(SIRT3)是线粒体相关的重要蛋白,本研究通过SIRT3作为连接,提供了研究阿霉素(DOX)与心肌细胞线粒体的桥梁,并且进一步强调了线粒体功能在心肌细胞中的重要作用;(2)黄酒多酚(YWPC)对缓解DOX所致心肌损伤的过程仍有不明晰的内容,本研究提出了YWPC缓解DOX引𒁃起心肌ꦛ损伤的新的可能途径。
(🌳1)未能通过相关的实验增加SIRT🎀3表达水平,进一步证明SIRT3后续作用;(2)没有深入探究线粒体功能改变对YWPC的影响。
1 材料和方法
1.1 动物及细胞株
体内实验采用SPF级雄性SD大鼠24只,6~8周龄,体质量(250±20)g,由上ꦕ海斯莱克实验动物有限公司提供〔许可证号:SCXK(沪)2017-0005〕。体外实验采用的大鼠心肌细胞H9C2购自中国科学院上海细胞库。本研究通过绍兴市人民医院实验动物伦理委员会审批(伦理批号:2020-012)。
1.2 研究试剂
DOX(货号:HY-15142)、SIRT3抑制剂(3-TYP)(货号:HY-108331)购自MCE公司;YWPC由上海中药制药技术有限公司分离提取,纯度>60%;胎牛血清(FBS)(货号:10270-106)购自Gibco公司;抗SIRT3抗体(货号:ab86671)、抗B淋巴细胞瘤-2蛋白(Bcl-2)抗体(货号:ab32124)及抗Bcl-2相关X蛋白(Bax)抗体(货号:ab32503)均购自Abcam公司;抗甘油醛-3-磷酸脱氢酶(GAPDH)抗体及二抗购自Cell Signaling Technology公司;原位末端标记(TUNEL)凋亡检测试剂盒购自Roche公司;其他生化试剂均为进口分装或达到国产分析纯(AR)级别。
1.3 研究方法
1.3.1 大鼠DOX心肌损伤模型的构建及实验分组
动物适用性喂养1周后,将大鼠随机分成4组:对照组、YWPC组、DOX组与DOX+YWPC组。DOX组及DOX+YWPC组大鼠每周通过尾静脉注射1次2.5 mg/kg的DOX,共注射6周,累计剂量15 mg/kg;另外两组大鼠每周通过尾静脉注射等量的0.9%氯化钠溶液。DOX+YWPC组及YWPC组大鼠每日中午12时通过灌胃给予30 mg/kg(总体积2 ml)的YꦍWPCꦬ,另外两组给予等量0.9%氯化钠溶液,每次灌胃后观察30 min。实验大鼠均在6周后结束实验。
1.3.2 血清乳酸脱氢酶(LDH)水平检测
动物LDH检测试剂盒购自南京建成生物公司,于动物实验药物干预结束后、大鼠心脏摘除前使用采血针刺入大鼠左心室取血,分离大鼠血清并用于LDH水平的检测,按照试剂盒说明书将各项检测液混合后,使用酶标仪测定450 nm处吸光度值。
1.3.3 心脏组织的获取及保存
动物实验药物干预结束后,将大鼠心脏取出并横向切分,其中上半部分心脏组织置于液氮中保存待Western Blot法检测使用,下半部分用于组织切片的制备,浸泡于4%甲醛溶液中固定,经过常规脱水、浸蜡、包埋后制成切片。
1.3.4 MASSON染色和免疫组织化学染色
MASSON染色时取各组大鼠心肌新切片脱蜡处理至水,按照MASSON染色试剂盒说明书染色后封片,显微镜下观察各组大鼠心肌切片的心肌纤维形态/结构、蓝色胶原纤维显色水平;免疫组织化学染色时将各组大鼠心肌新切片脱蜡处理至水,按照一般流程进行抗原修复,滴加抗SIRT3抗体(抗体浓度为1∶200)后4 ℃过夜,磷酸盐缓冲液(PBS)清洗后滴加二抗孵育,按照二氨基联苯胺(DAB)显色试剂盒的使用方法进行显色反应。显色终止后使用苏木素染色液将核染为蓝色,染色结束后脱水、封片,观察所显棕黄色的面积与颜色深浅,即SIRT3表达水平。
1.3.5 TUNEL细胞凋亡检测
将各组大鼠心肌新切片脱蜡处理至水,用蛋白酶K 37 ℃孵育30 min,滴加TUNEL反应液并37 ℃避光孵育1 h,用PBS冲洗后使用二氨基苯基吲哚(DAPI)进行核染,在荧光显微镜下观察细胞,其中绿色亮点代表细胞凋亡。
1.3.6 组织总蛋白提取及Western Blot法检测
取保存在液氮中的新鲜、适量、等质量的各组大鼠心肌组织,使用电动匀浆器冰上匀浆裂解,提取组织总蛋白。使用喹啉甲酸(BCA)法进行蛋白定量,根据结果加入适量上样缓冲液,稀释配平后制成蛋白质样品以用于Western Blot法𒈔检๊测。为测定凋亡水平(Bcl-2及Bax蛋白)和SIRT3表达水平的改变情况,分别使用抗Bcl-2、Bax、SIRT3和内参GAPDH抗体4 ℃孵育过夜,二抗室温孵育1 h。使用化学发光成像系统采集图像,图像处理分析软件(Image J)对各组大鼠心肌Bcl-2、Bax、SIRT3及GAPDH条带灰度值进行定量分析。
1.3.7 体外大鼠H9C2细胞培养及分组
H9C2细胞在杜氏高糖培养基(DMEM)、37 ℃、5%CO2条件下培养,同一代一批H9C2细胞被随机分为5组:对照组、DOX组、DOX+YWPC(1 mg/L)组、DOX+YWPC(10 mg/L)与DOX+YWPC(100 mg/L),不同浓度的YWPC在添加DOX 12 h前进行预添加,当细胞达到约70%融合时添加1ꦆ μmol/L的DOX,干预24 h得到体外DOX心肌损伤模型,采用CCK-8法测定细胞活性,采用Western Blot法测定蛋白表达情况,每种实验重复3次。
1.3.8 H9C2细胞中3-TYP的应用
在明确YWPC影响DOX引起H9C2细胞凋亡及SIRT3表达水平改变后,为进一步明确SIRT3在实验过程中的作用,将同一代另一批H9C2细胞随机分为对照组、DOX组、DOX+YWPC组、DOX+3-TYP组及DOX+YWPC+3-TYP组。DOX干预浓度为1 μmol/L,干预时间为24 h;DOX+YWPC组与DOX+YWPC+3-TYP组在添加DOX 12 h前使用10 mg/L YWPC进行预干预;DOX+3-TYP组与DOX+YWPC+3-TYP组在添加DOX 4 h前使用5μm🎃ol/L 3-TYP进行预干预,采用Western Blot法测定蛋白表达情况,实验重复3次。
1.3.9 CCK-8法
为检测各干预条件对细胞活性的影响,将H9C2细胞种于96孔板中,每孔约5 000个细胞,每组设复孔3个。细胞贴壁后进行实验干预,干预结束后按照CCK-8试剂盒说明书在每一个孔加入10 μl反应液,37 ℃培养4 h后用酶标仪读取各孔4ไ50 nm处吸光度值,绘制吸光度值曲线,以吸光度值代表细胞活性。
1.4 统计学方法
应用Graphpad Prism 7.0软件绘图,SPSS 16.0统计学软件进行数据分析。符合正态分布的计量资料以(

±s)表示,多组间比较采用单因素方差分析,两两比较采用q检验。以P<0.05为差异有统计学意义。
2 结果
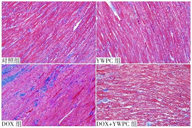
2.1 YWPC缓解DOX引起的大鼠心肌细胞损伤
大鼠心肌切片通过MASSON染色后可见:DOX组大鼠心肌纤维排列紊乱,大量蓝色胶原纤维贯穿心肌纤维;DOX+YWPC组大鼠心肌切片纹理部分恢复,蓝色胶原纤维减少(图1)。四组胶原纤维占比比较,差异有统计学意义(P<0.05),其中DOX组胶原纤维占比高于对照组、DOX+YWPC组,差异有统计学意义(P<0.05)。四组LDH水平比较,差异有统计学意义(P<0.05),其中DOX组血清LDH水平高于对照组、DOX+YWPC组,差异有统计学意义(P<0.05),见表1。

图1 YWPC缓解DOX引起的大鼠心肌细胞损伤注:大鼠心肌切片Masson染色(×200)结果,YWPC=黄酒多酚,DOX=阿霉素 Figure 1 Effect of YWPC in alleviatiꦿng DOX-induced myocardial injury in the in vivo experiment with four groups𝐆 of rats |
2.2 YWPC缓解DOX引起的大鼠心肌细胞凋亡
将各组大鼠心脏组织制成蛋白样品后进行Weste🍒rn Blot法检测。四组Bcl-2/Bax比值比较,差异有统计学意义(P<0.05),其中DOX组Bcl-2/Bax比值低于对照组、DOX+YWPꦰC组,差异有统计学意义(P<0.05),见表1。将大鼠心肌切片进行TUꦆNEL染色,可见DOX组的大鼠心肌切片中代表凋亡的绿色亮点明显增多,呈片状分布,而经YWPC治疗后凋亡亮点减少,见图2ඣ。

图2 YWPC缓解DOX引起的大鼠心肌细胞凋亡情况注:A为大鼠心肌凋亡相关蛋白表达▨的变化;B为大鼠心肌切片TUNEL染色结果(×200);Bcl-2=B淋巴细胞瘤-2蛋白,Bax=Bcl-2相关X蛋白 Figure 2 Effect of YWPC in alleviating myocardial cell apoptosis due to DOX-induced myocardial injury explored in the in vivo experiment 🎶with four groups of rats |
2.3 YWPC缓解DOX引起的H9C2细胞凋亡
通过CCK-8法比较DOX作用下各组H9C2细胞的存活率,五组吸光度值比较,差异有统计学意义(P<0.05),其中DOX组吸光度值低于对照组、DOX+YWPC(1 mg/L)组、DOX༒+YWPC(10 mg/L)组、DOX+YWPC(100 🐼mg/L)组,差异有统计学意义(P<0.05)。通过West💛ern Blot法检测H9C2细胞蛋白表达水平,五组Bcl-2/Bax比值比较,差异有统计学意义(P𒈔<0.05),其中DOX组Bcl-2/Bax比值低于对照组、DOX+YWPC(1 mg/L)组、DOX+YWPC(10 mg/♓L)组、DOX+YWPC(100 mg/L)组,差异有统计学意义(P<0.05)。见图3、表2。
2.4 体内外SIRT3表达情况
在动物组织蛋白中,四组SIRT3表达水平比较,差异有统计学意义(P<0.05),其中DOX🉐组SIRT3表达水平低于对照组、DOX+YWPC组,差异有统计学意义(P<0.05)。利用免疫组织化学染色观察到各组切片中SIRT3表达水平的变化趋势与大鼠心脏组织Wester🌳n Blot法检测结果变化趋势基本一致。在H9C2细胞中,五组SIRT3表达水平比较,差异有统计学意🐽义(P<0.05),其中DOX组SIRT3表达水平低于对照组、DOX+YWPC(1 mg/L)组、DOX+YWPC(10 mg/L)组、DO꧑X+YWPC(100 mg/L)组,差异有统计学意义(P<0.05),见图4、表1,表2。
2.5 3-TYP对YWPC作用的影响
对照组、DOX组、DOX+YWPC组、DO﷽X+3-TYP组及DOX+YWPC+3-TYP组Bcl-2/Bax比值比较,差异有统计学意义(P<0.05),其中DOX组及DꦓOX+3-T🦄YP组Bcl-2/Bax比值低于对照组,差异有统计学意义(P<0.05);DOX+YWPC+3-TYP组Bcl-2/Bax🐓比值低于DOX+YWPC🦂组,差异有统计学意义(P<0.05)。五组SIRT3表达水平比较,差异有统计学意义(P<0.05),🧜其中DOX组、DOX+3-TYP组SIRT3表达水平低于对照组,差异有统计学意义(P<0.05);但DOX+YWPC组与D⛦OX+YWPC+3-TYP组SIRTꦑ3表达水平比较,差异无统计学意义(P>0.05),见图5、表3。
3 讨论
DOX具有广泛的抗癌谱和较高的临床疗效,是多种癌症的一线化疗药物,然而DOX的严重心脏毒性作用较大,使其临床应用受到了一定限制[10]。DOX与心肌有较高的亲和力,长期暴露在DOX中可能导致较为严重的心肌损伤,甚至引发心力衰竭,威胁患者生命[11]。目前临床上控制DOX心脏毒性的常用策略有:限制剂量暴露、将药物包裹在脂质体中减少心肌摄取、与铁螯合剂右雷佐生同时给药以减少游离铁催化的活性氧的形成以及改变药物结构等[12]。尽管如此,DOX引起的心力衰竭仍在继续发生,部分原因是其分子和细胞作用机制仍存在争议且尚未被完全理解[13],目前如何有效防治DOX诱导的心肌损伤是许多研究的探索方向。各类天然化合物,如积雪草酸、α-亚麻酸、黄酮类、类黄酮类化合物以及酚类化合物等均可通过抗氧化、减少应激及自噬调节等途径起到缓解DOX诱导的心肌损伤的作用[14,15,16,17]。近年来,多酚类物质的抗氧化活性成为研究热点,研究证实其在控制心血管系统疾病方面有多种保护作用,例如SHAKERI等[18]提出姜黄素通过调节内质网应激而在多种疾病(包括动脉粥样硬化)中起着重要作用;SERGAZY等[19]提出葡萄多酚提取物可以增加血浆中的抗氧化剂水平并降低自由基水平,具有一定的逆转DOX心肌损伤的能力和心脏保护作用。本研究团队前期对黄酒及其主要成分YWPC也进行了长期深入的研究,发现YWPC在心血管系统中在减轻内皮细胞损伤、抑制平滑肌细胞表型转化等方面均有作用[20,21,22],并且证实了YWPC可能通过调节细胞内Nrf2的核易位水平缓解DOX引起的氧化应激反应及在DOX所致心脏毒性中的保护作用[6],但仍有进一步研究其他作用机制的必要。SIRT3通过对细胞线粒体的代谢等进行调节而减少心脏毒性发生过程中的活性氧的生成,并通过对叉头框蛋白O3(FOXO3)、P53及腺苷一磷酸(AMP)等信号通路的作用在许多心脏毒性机制的控制点发挥重要作用[7]。本研究作为对YWPC缓解DOX心肌损伤作用机制的补充,进一💯步完善了YWPC在心肌细胞内的作用途径,同时也进一步明确了心肌细胞中SIRT3改善心脏状态的作用,为临床及科研人员开发♔DOX新型保护剂提供了理论依据。
本研究采用体内和体外实验同时进行研究,动物实验中通过比较DOX组与DOX+YWPC组的Masson染色结果、血清LDH水平和凋亡相关蛋白表达改变,发现在动物实验中DOX组较对照组心肌损伤更严重,其中血清LDH水平上升提示心肌损伤程度加重,Bcl-2/Bax比值下降提示心肌细胞凋亡增加;与DOX组相比,DOX+YWPC组心肌损伤较轻,血清LDH水平部分恢复,Bcl-2/Bax比值上升,提示YWPC可以在动物实验中降低心肌细胞凋亡水平,进而缓ജ解心肌损伤。细胞实验进行了细胞活性的比较和细胞模型中凋亡相关蛋白表达水平比较,其中DOX组较对照组吸光度值减少且Bcl-2/Bax比值下降,提示DOX引起细胞凋亡后降低了细胞活性,而使用不同浓度YWPC进行干预后,与DOX组相比,DOX+YWPC组吸光度值上升且Bcl-2/Bax比值也上升,得到了与动物实验相一致的结果,进一步证实YWPC可以降低心肌细胞凋亡水平,维持细胞存活,这些结论与早期YWPC相关研究结果一致[5,17]。通过对动物切片免疫组织化学染色、动物组织及H9C2细胞Western Blot法发现,在DOX及YWPC作用的过程中SIRT3表达水平发生了改变:与对照组相比,使用DOX会使动物心脏内和H9C2细胞内SIRT3表达水平下降;在YWPC的作用下,DOX+YWPC各组中SIRT3蛋白表达水平升高,提示SIRT3可能参与了DOX与YWPC作用的过程,对比其他研究者关于SIRT3在DOX引起的心肌毒性中作用的相关研究下如:YANG等[23]认为高SIRT3表达水平及活性可以有效减轻DOX心肌毒性,SALEH等[24]也提出恢复氧化物酶体增殖激活受体γ共激活因子1α(PGC-1α)/SIRT3信号在治疗DOX心肌毒性中具有重要作用,本研究实验结果与之相符。由于YWPC相关研究较少,且SIRT3在其中的作用仍不明确,为了进一步探究SIRT3在YWPC缓解DOX引起心肌损伤过程中的作用,本研究通过进一步的细胞实验发现使用3-TYP抑制SIRT3功能后,YWPC缓解DOX心肌凋亡的作用被抑制,提示YWPC可能通过调节SIRT3减轻心肌损伤,但这需要进一步的实验验证。
综上所述,YWPC可能通过上调SIRT3的表达起到保护心肌免受DOX毒性影响的作用,而在DOX诱导的心肌损伤中SIRT3是一种重要的保护蛋白。在后续的实验研究中,🌱可以SIRT3为基点,深入探究YWPC在其中发挥作用的位点;同时,可以基于SIRT3相关的位点♑寻找能更加有效地缓解DOX诱导的心肌损伤的药物。
本文无利益冲突。
本文部分图表略
参考文献略
好了,这篇文章的内容发货联盟就和大家分享到这里,如果大家网络推广引流创业感兴趣,可以添加微信:80709525 备注:发货联盟引流学习; 我拉你进直播课程学习群,每周135晚上都是有实战干货的推广引流技术课程免费分享!